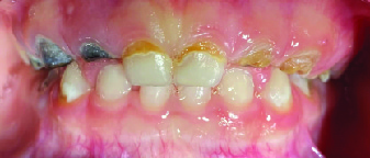
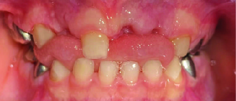
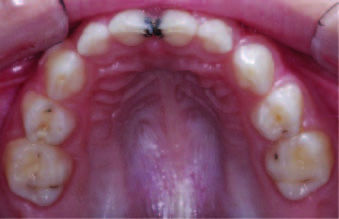
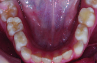
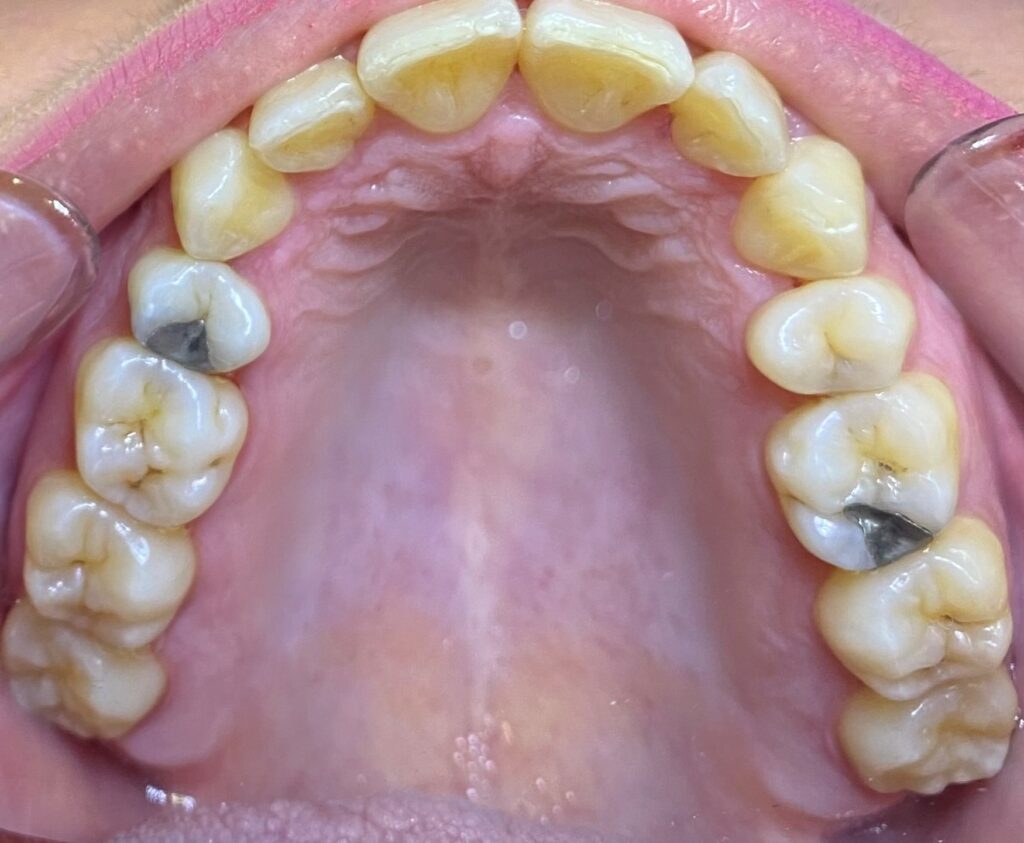
Περιστατικό 1

Αρχική άνω γνάθος

Τελική άνω γνάθος

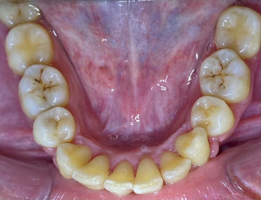
Αρχική κάτω γνάθος

Τελική κάτω γνάθος

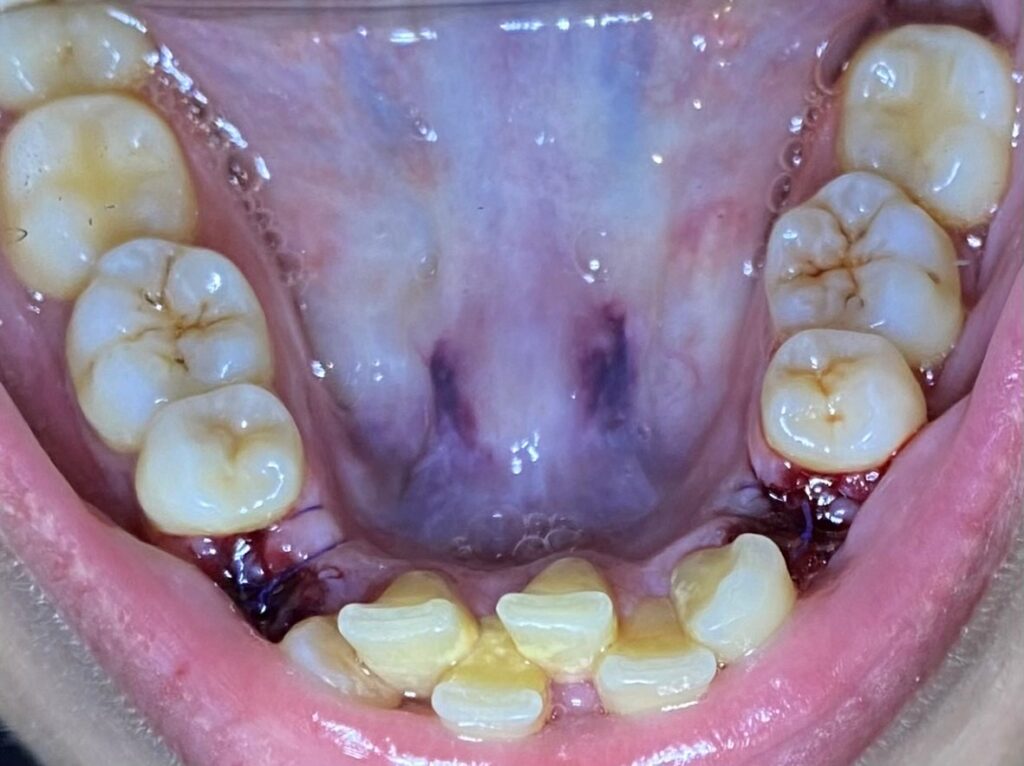
Περιστατικό 2

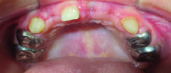
Αρχική άνω γνάθος

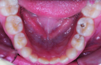
Αρχική κάτω γνάθος

Τελική άνω γνάθος

Τελική κάτω γνάθος

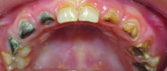
Περιστατικό 3

Αρχική άνω γνάθος

Τελική άνω γνάθος

Αρχική κάτω γνάθος

Τελική κάτω γνάθος

Περιστατικό 4

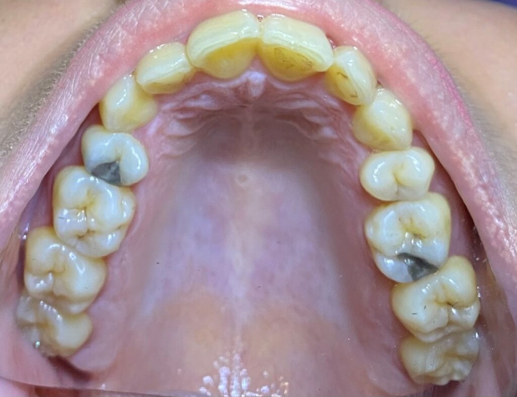
Αρχική άνω γνάθος

Τελική άνω γνάθος

Αρχική κάτω γνάθος

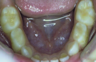
Τελική κάτω γνάθος

Περιστατικό 5

Αρχική άνω γνάθος

Τελική άνω γνάθος

Αρχική κάτω γνάθος

Τελική κάτω γνάθος

Περιστατικό Γενικής Αναισθησίας

Αρχική σε σύγκλειση

Αρχική άνω γνάθος

Αρχική κάτω γνάθος

Τελική σε σύγκλειση

Τελική άνω γνάθος

Τελική κάτω γνάθος

Περιστατικό Ορθοδοντικής Ενηλίκων

Πριν άνω γναθος

ορθοδοντική ενηλίκων

Πριν κάτω γναθος

ορθοδοντική ενηλίκων

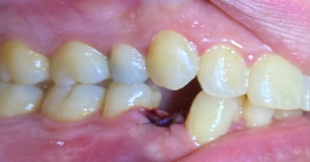
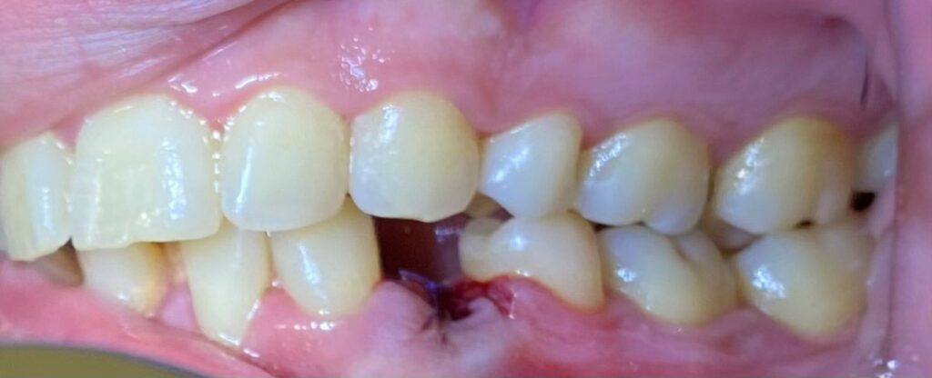
Πριν δεξιά πλευρά

ορθοδοντική ενηλίκων

Πριν αριστερή πλευρά

ορθοδοντική ενηλίκων

Μετά άνω γναθος

ορθοδοντική ενηλίκων

Μετά κάτω γναθος

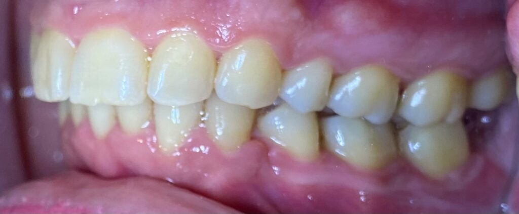
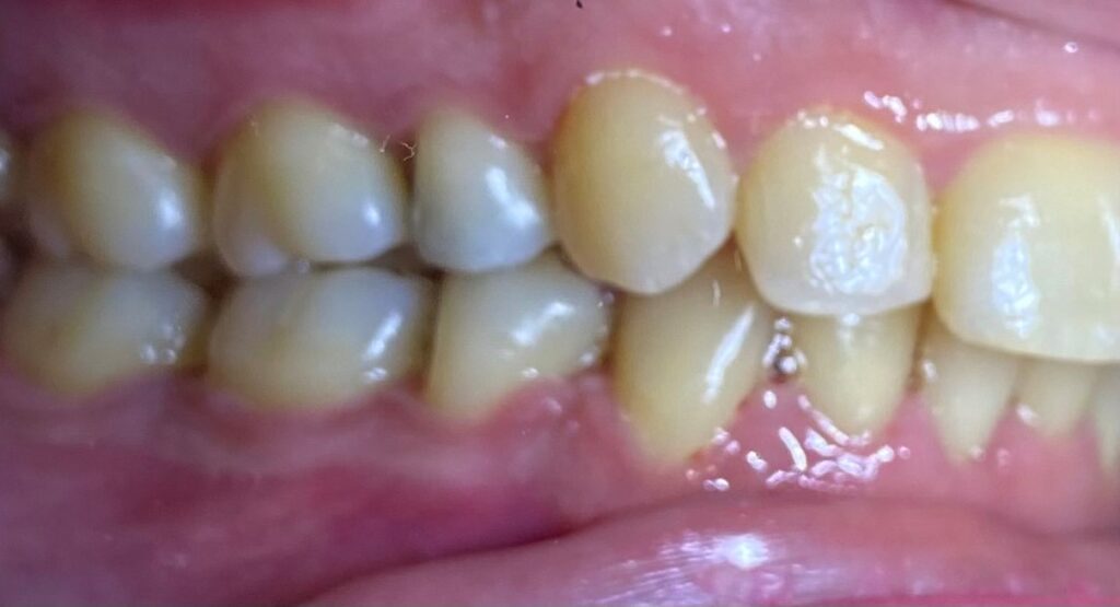
Μετά δεξιά πλευρά

ορθοδοντική ενηλίκων

Μετά αριστερη πλευρά

ορθοδοντική ενηλίκων
Skip to content